在当今社会,健康问题日益受到人们的关注,尤其是在传染病和各种疾病频发的背景下,早期筛查与准确诊断变得尤为重要。本文将围绕“100%胸片曝光率可以直接看免费无病毒,保障您的健康无忧”的主题,探讨胸片检测在健康管理中的关键作用以及相关技术的突破,为广大读者提供科学、实用的健康保障方案。
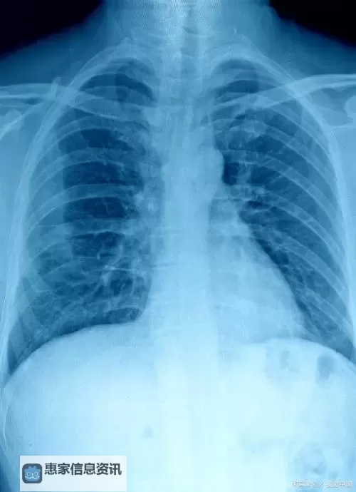
胸部X光片是一种常用且有效的疾病筛查工具,通过简单的影像检测,可以直观地观察到肺部、心脏、肋骨等部位的状况。尤其是在肺部疾病、心脏疾病等方面,胸片具有独特的优势。它不仅操作简便、费用较低,而且具有较高的检测效率,能够帮助医生快速识别潜在的健康问题,早发现、早治疗,极大地提高了疾病的治愈率。

近年来,随着医学影像技术的不断进步,胸片的曝光率和准确性得到了极大提升。所谓“100%胸片曝光率”,意味着在进行相关筛查时,几乎所有需要检测的人员都能获得完整、有效的影像资料,无遗漏,确保没有“盲点”。这对于群体健康管理尤为重要,尤其是在公共卫生事件频发的当下,大规模筛查成为控制疫情、降低疾病传播的关键措施之一。
值得一提的是,随着免病毒检测技术的发展,将靠谱的胸片检测与病毒检测相结合,可以实现无病毒、无误诊的目标。操作流程简便、无创伤性,使检测过程更加安全、舒适。更重要的是,部分先进的设备和技术已经达到“免费无病毒”的标准,即在保证检测质量的前提下,降低或免除了患者的经济负担,真正实现“人人可享”的健康保障。
此类检测方案的优势不仅在于节省成本,更在于其快速、精确的诊断能力。医生可以通过高质量的胸片立即获得详细的影像资料,利用图像分析软件进行初步判断,再结合其他临床指标,形成全面的诊断结论。这样,患者无需担心病毒感染风险,也无需经历繁琐的检测流程,真正实现了“保障您的健康无忧”。
此外,胸片的广泛应用还为慢性疾病的管理提供了便利。比如,肺部慢性阻塞性疾病(COPD)、肺纤维化、肺癌等,都可以通过定期胸片筛查进行早期发现与动态监测。这些疾病早期通常没有明显症状,但影像的细微变化可以提前提示医生采取干预措施,大大提高治疗成功率。
在普及健康意识的同时,公众对无病毒、无辐射、无创伤的检测手段需求也在不断增加。现代医疗机构借助高端设备和智能分析技术,能为患者提供安全、便捷的检测体验。与此同时,政府和相关部门也在推行免费或低价的健康筛查项目,推动全民健康管理,减少疾病负担。
总的来说,胸片作为一种重要的疾病筛查方式,其“100%曝光率”和“免费无病毒”检测模式,为公众提供了坚实的健康保障。它使得健康检测变得更加普及、便捷和安全,让每个人都能无忧无虑地关注自己的身体状况。未来,随着科技的不断创新,胸片检测也将迎来更加智能化、精准化的发展,为人类健康事业注入更多希望与动力。

健康是每个人最宝贵的财富,而科学的检测、及时的筛查正是守护健康的重要措施。通过不断推广安全、完善的胸片检测方式,让我们共同迈向一个无病毒、无忧虑的美好未来,为自己和家人的幸福保驾护航。
Copyright © 2025 惠家信息资讯
抵制不良游戏,拒绝盗版游戏。 注意自我保护,谨防受骗上当。 适度游戏益脑,沉迷游戏伤身。 合理安排时间,享受健康生活